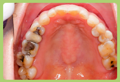
Dental Filling in Coimbatore
At GUGU Dental Clinics in Saibaba Colony, Coimbatore, we use the modern dental filling materials to refurbish cavities and damaged teeth. The filling process is done under local anesthesia and is completely painless. And then our Dentist will organize the space for the filling by cleaning the cavity of particle.


If the decay is closed by the root, our Dentist may first put in a liner made of glass ionomer cement, composite resin, or another material to safeguard the nerve. GUGU Dental Clinics provides secure and high-class dental filling treatment in Saibaba Colony, Coimbatore. Our enthusiastic team of professionals provides modified treatment for every patient.
small shallow cavities can be filled with dental cements which prevent further deepening of the decay and stops spreading decay to the next tooth
Create fillings are not only for good-looking, but also add strength to the damaged teeth. There restorations are so strong and long-lasting due to better bonding technologies.
Types of Dental Fillings:
- Glass inomer cement
- Tooth coloured composite
- Esthetic anterior tooth filling